N
The Global Insight

How long do ulcers take to heal?

Author

Sarah Garza

Updated on April 16, 2026

Uncomplicated gastric ulcers take up to two or three months to heal completely. Duodenal ulcers take about six weeks to heal. An ulcer can temporarily heal without antibiotics. But it is common for an ulcer to recur or for another ulcer to form nearby, if the bacteria are not killed.

How can I speed up the healing of an ulcer?

A pharmacist can recommend a treatment to speed up healing, prevent infection or reduce pain, such as:

  1. antimicrobial mouthwash.
  2. a painkilling tablet, mouthwash, gel or spray.
  3. corticosteroid lozenges.
  4. a salt (saline) mouthwash.

How do I know my ulcer is healing?

You may have a repeat gastroscopy after 4 to 6 weeks to check that the ulcer has healed. There aren't any special lifestyle measures you need to take during treatment, but avoiding stress, alcohol, spicy foods and smoking may reduce your symptoms while your ulcer heals.

How long do ulcers hurt for?

They usually heal within 1 to 3 weeks without treatment, although the pain normally goes away in 7 to 10 days. Serious canker sores may take up to 6 weeks to heal.

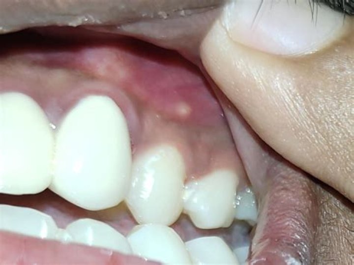
How long do ulcers take to heal in mouth?

Treatment for mouth ulcers

Most mouth ulcers are usually harmless and resolve by themselves within 10 to 14 days. Other types of mouth ulcers, such as the aphthous variety or those caused by herpes simplex infection, need topical treatment (such as a mouthwash, ointment or gel).

How To Treat Peptic Ulcer |Health Focus|

What drink is good for ulcers?

Cranberry and cranberry extract also may help fight H. pylori . You can drink cranberry juice, eat cranberries, or take cranberry supplements. No specific amount of consumption is associated with relief.

Why do mouth ulcers hurt so much?

Unfortunately, the inside of your mouth is full of digestive enzymes and acids that eat into the sore, which is what causes the pain. Although there isn't a way to stop them from occurring yet, there are a few home remedies that might help ease some of the pain.

What are the warning signs of an ulcer?

Here are the top five signs you may have an ulcer:

  • Dull, burning pain. The most common sign of a stomach ulcer is dull, burning pain in the stomach area. ...
  • Indigestion or heartburn. ...
  • Nausea or vomiting. ...
  • Change in stool color. ...
  • Unexplained weight loss.

What does your poop look like when you have an ulcer?

You may get a queasy feeling or a need to throw up. You could burp more than normal or feel bloated. You may also have black stools or see blood when you poop. Some people with stomach ulcers don't feel like eating and lose weight without trying.

How does an ulcer feel?

The classic symptoms of peptic ulcers are stomach pain and indigestion. Ulcer pain feels like burning or gnawing inside your stomach, which is between your breastbone and your belly button. It may improve temporarily when you eat or drink or when you take an antacid, medication to reduce stomach acid.

What foods soothe an ulcer?

Apples, pears, oatmeal, and other foods that are high in fiber are good for ulcers in two ways. Fiber can lower the amount of acid in your stomach while easing bloating and pain. Research has also shown that a diet rich in fiber may help prevent ulcers.

How painful is an ulcer?

The most common symptom of a stomach ulcer is a burning or gnawing pain in the centre of the tummy (abdomen). But stomach ulcers aren't always painful and some people may experience other symptoms, such as indigestion, heartburn and acid reflux and feeling sick.

Where does an ulcer hurt?

The most common ulcer symptom is a dull or burning pain in your belly between your breastbone and your belly button (navel). This pain often occurs around meal times and may wake you up at night. It can last from a few minutes to a few hours.

Does drinking water hurt an ulcer?

Drinking and Eating With an Ulcer

Plain water is the best choice. Meal timing might also make a difference. Some patients have reported a reduction in pain if they skip between-meal snacks, because eating less often reduces the amount of stomach acid produced throughout the day. Less stomach acid means less irritation.

Why is ulcer pain worse at night?

Graham, a professor of gastroenterology at Baylor College of Medicine in Houston. “If you want pain at nighttime, eat at bedtime,” he said. That's because when you eat, your stomach makes a lot of acid to digest the food. But “once the food is gone,” he said, acid levels remain high.

Do ulcers hurt more when lying down?

The pain is often worse at night and early morning. It can last anywhere from a few minutes to several hours. The ulcer pain may be relieved by food, antacids, or vomiting.

Should I go to ER for ulcer pain?

If the pain is sudden, severe or does not ease within 30 minutes, seek emergency medical care. Sudden abdominal pain is often an indicator of serious intra-abdominal disease, such as a perforated ulcer or a ruptured abdominal aneurysm, although it could also result from a benign disease, such as gallstones.

When should you go to the hospital for an ulcer?

Call your doctor right away if you have sharp stomach pain, you're sweating a lot or feeling confused, or your stomach feels hard to the touch. These could be signs of a serious ulcer complication that needs immediate medical help.

Are ulcers caused by stress?

Stress ulcers come on suddenly, usually as a result of physiological stress. Some acidic foods can make ulcers worse , as can physical stress, such as the stress of a serious injury or infection. This may be because stress increases stomach acid.

Can ulcers affect bowel movements?

These sores can be caused by several conditions, including inflammatory bowel disease, solitary rectal ulcer syndrome and constipation. If you have a rectal ulcer, you may see blood in the stool, have rectal pain or experience painful bowel movements.

What foods should be avoided with ulcers?

Foods to limit when you have acid reflux and an ulcer

  • coffee.
  • chocolate.
  • spicy food.
  • alcohol.
  • acidic foods, such as citrus and tomatoes.
  • caffeine.

Is banana good for ulcer?

Both raw and ripe bananas are found to be very beneficial in curing stomach ulcer. There are certain antibacterial compounds in bananas that inhibit the growth of ulcer-causing H. pylori. Bananas are best to clear out the acidity of gastric juices that lowers the inflammation and strengthens the stomach lining.

Do mouth ulcers get bigger as they heal?

If the sore starts to get smaller after it has reached its peak, this is a sign that the sore will most likely go away on its own. However, sometimes the sores do not go away. They will continue to get bigger and as they grow in size the pain will increase.

Does rubbing salt on ulcers help?

This is because salt-water is a mild anti-septic. It can kill the harmful inflammation causing bacteria without doing any damage to the infected tissue itself. Rinsing the ulcer out this way two or three times a day will promote healing and stop it from getting any worse.

Should I put salt on my mouth ulcer?

Add some salt to warm water and rinse for about 30 seconds. This tried and true trick is so effective at healing mouth sores because the sodium chloride works to take water from the surrounding healthy tissues in your mouth and redirect the water to the mouth sore.